Protagonisti gli studenti degli istituti Molinari, Torricelli, Feltrinelli e Curie-Sraffa di Milano che partecipano a una ricerca internazionale di Globe Program sulle microplastiche, grazie a docenti appassionati che li hanno trasformati in “Globe Microplastics hunters”

«Prof! Ma cos’è che dobbiamo fare? Cos’è questa cosa delle microplastiche?» Ogni anno inizia così, nuova classe, altri studenti da guidare e appassionare perché diventino “Cacciatori di microplastiche”. Lo rivela Morena Buga, ‘prof’ del corso di Biotecnologie Ambientali e Chimica e Materiali nella relazione di fine anno. Gli studenti in questione sono dell’Istituto Tecnico e Liceo Scientifico Molinari, che insieme a quelli del Torricelli, Feltrinelli e Curie-Sraffa, partecipano alla Campagna Internazionale di Monitoraggio delle Microplastiche nei corpi d’acqua di prossimità.
Una rete che fa parte delle scuole aderenti al Globe Program (Global Learning and Observation to Benefit the Environment). La finalità è creare una banca dati mondiale su un problema ambientale emergente, di particolare gravità, diffusione e complessità: la presenza delle microplastiche nei corpi d’acqua (fossati, ruscelli, fiumi, canali, laghi, stagni, mari…), in particolare su quelli minori. La missione è aiutare studenti e cittadini a diventare cacciatori di microplastiche, i “Globe Microplastics hunters”.
Le microplastiche sono un problema ambientale ben noto che affligge tutte le sfere terrestri (atmosfera, biosfera, idrosfera, pedosfera). Nel 2021 Globe ha formato gli insegnanti di 12 paesi europei ed eurasiatici aderenti al Protocollo Microplastiche nelle Acque Superficiali, ideato dalla Deakin University in Australia. Loro compito è introdurre gli studenti alla nuova metodologia di ricerca, testando il protocollo di monitoraggio delle acque superficiali presenti nei territori delle scuole, e poi raccogliere e trasmettere i dati ai ricercatori australiani.
Matilde Marchese, ex docente di Chimica Ambientale dell’Itis Feltrinelli e Globe teacher, è la coordinatrice delle scuole milanesi che partecipano al progetto. «Gli obiettivi – ci spiega – sono molteplici: verificare e migliorare l’efficacia e la significatività del nuovo protocollo, educare gli studenti a sperimentare rigorose metodologie scientifiche di indagine ambientale, sensibilizzarli ai problemi ambientali emergenti, produrre una banca dati sulle microplastiche fruibile da studenti, insegnanti, cittadini e ricercatori. Supportati dai loro insegnanti, gli studenti si sono impegnati moltissimo nel loro ruolo di ricercatori producendo una documentazione significativa dei lavori che pubblicheremo per promuovere il progetto ad altre scuole e sensibilizzare la cittadinanza».

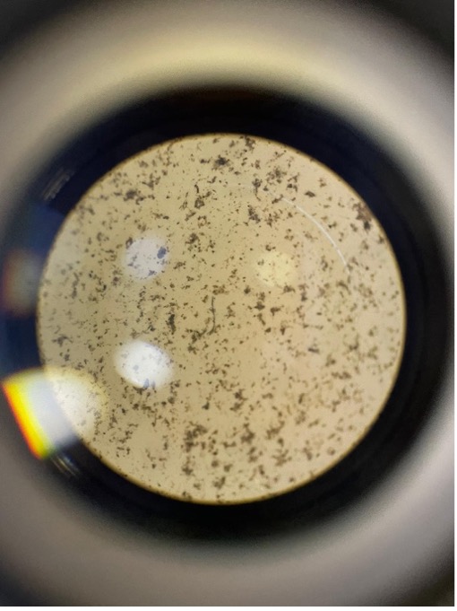
L’istituto IIS Curie-Sraffa si occupa da anni di educazione ambientale e monitoraggio fisico, chimico e batteriologico dei corpi idrici superficiali. Gli studenti, incontrandosi nel pomeriggio in piccoli gruppi, hanno raccolto i campioni d’acqua in tre corpi idrici: Parco delle Cave, Parco del Lura e Riserva naturale Fontanile Nuovo. La scuola ha fornito la strumentazione necessaria per il monitoraggio e i test. Dalle osservazioni allo stereomicroscopio sono stati rilevati numerosi filamenti di fibre tessili sintetiche e alcuni probabili frammenti di microplastiche.
Gli studenti dell’IIS Torricelli hanno contestualizzato la ricerca delle microplastiche al territorio del Parco del Ticinello, poco distante dalla scuola. Hanno campionato le acque del Cavo del Ticinello, della Roggia Scarpogna e della zona Umida, riscontrando una maggiore presenza di microplastiche nella Roggia rispetto alle altre due zone. Quindi hanno promosso il progetto all’interno della scuola per sensibilizzare gli altri studenti su questa problematica delle microplastiche.
Le acque del Naviglio Grande e Pavese sono state campionate, microfiltrate e analizzate dagli studenti dell’Itis Feltrinelli che partecipano al progetto “Gocce di civiltà in un mare di plastica” finanziato dalla Fondazione Cariplo. Testato il nuovo Metodo Scientifico Sperimentale, hanno riportato i dati in una relazione Italiano-Inglese, presentata dalla docente De Michele al Globe Regional Meeting di Riga in Lettonia nell’ottobre 2023. Purtroppo, i dati raccolti hanno confermato la presenza di numerose microplastiche nelle acque dei Navigli.
Il motto “MICRO-plastiche ma MACRO-problema!!” è stato coniato dagli studenti dell’Istituto Tecnico e Liceo Scientifico Ettore Molinari, che da tre anni aderiscono al progetto. La loro scelta è ricaduta sul fiume Lambro, di cui già si occupano sistematicamente e che è diventato col tempo l’amico fragile di cui prendersi cura. In un gioco di squadra responsabile, nei loro ruoli di chimici e biotecnologi, hanno portato avanti il lavoro di osservazione, studio, analisi e quindi di divulgazione dei risultati attraverso poster e volantini per sensibilizzare i compagni di scuola.
Per ulteriori info: www.globeitalia.it

Relazioni, dati e foto sulle microplastiche
Seguono le relazioni integrali degli studenti e le foto pervenute dai quattro istituti, da cui è nato l’articolo pubblicato sul giornale il SUD Milano di luglio 2024. Anche il sito www.ilsudmilano.it è una testata giornalistica registrata come la testata cartacea il SUD Milano.
Istituto Tecnico e Liceo Scientifico Ettore Molinari
MICRO-plastiche … MACRO-problema! A cura della Prof.ssa Morena Buga
Prof! Ma cos’è che dobbiamo fare? Cos’è questa cosa delle microplastiche? Ecco, ogni anno inizia così. Una nuova classe, altri studenti da guidare e appassionare, perché diventino “Cacciatori di microplastiche”. Siamo nell’Istituto Tecnico e Liceo Scientifico Ettore Molinari di Milano e gli studenti in questione appartengono al corso di Biotecnologie Ambientali oppure Chimica e Materiali. Abbiamo aderito alla rete GLOBE Italia tre anni fa, quasi per caso, una proposta tra le tante che giungono alla mail dell’Istituto, ma che ci ha subito colpito ed è stata raccolta, e da lì in avanti, ogni anno con passione ed entusiasmo ci rimettiamo all’opera.
Insieme ai ragazzi abbiamo imparato come fare, scoprendo ed approfondendo un tema del quale si sente parlare sempre più, ma di cui forse non si conosce abbastanza l’impatto negativo sugli ecosistemi e su tutti gli organismi viventi. Per dirla con il motto coniato dalla classe di quest’anno: “MICRO-plastiche ma MACRO-problema!!” Ogni volta c’è tanto da lavorare e dobbiamo mettere in campo molte competenze trasversali e di organizzazione, a partire per esempio dalla scelta del luogo sul quale focalizzare la nostra attenzione. Il primo anno abbiamo ispezionato diversi corpi idrici, poi abbiamo capito che sarebbe stato meglio focalizzare l’attenzione su un solo corpo idrico e seguirlo nel tempo, prendersene cura e accompagnarlo anno dopo anno. La scelta è caduta quindi sul fiume Lambro, del quale già ci occupiamo sistematicamente attraverso specifiche analisi chimiche e microbiologiche svolte durante l’anno scolastico. E questo modesto corso d’acqua, che attraversa la nostra città, che talvolta sale agli onori della cronaca per episodi spiacevoli, come le sue esondazioni o il livello di inquinamento, è diventato sempre più come un amico fragile di cui prendersi cura, attraverso gli strumenti che come chimici e biotecnologi abbiamo a disposizione: osservazione, studio, analisi e poi divulgazione dei risultati e sensibilizzazione.
Tutto il percorso è seguito da vari docenti, dove ognuno si occupa di una fase specifica, dai webinar di formazione in inglese, che diventano occasione per approfondimenti linguistici, alla “gita” per il campionamento, alla fase di filtrazione e poi di osservazione al microscopio, che introduce un modo nuovo di utilizzare uno strumento già noto agli studenti nel corso di microbiologia, e infine la fase di raccolta e sistematizzazione dei dati raccolti… Ogni volta una bella sfida per i nostri ragazzi, spesso poco avvezzi a restare all’interno di protocolli necessariamente rigidi.
Gioco di squadra
Un gioco di squadra, insomma, dove la dimensione del lavoro di gruppo, del fare ognuno la propria parte, del lasciare spazio e svolgere bene il proprio compito, piccolo o grande che sia, per la buona riuscita del progetto, porta alla fine al successo che è il successo di tutti. Alcuni studenti si dedicano poi alla parte di divulgazione e di sensibilizzazione sul tema delle Microplastiche, elaborando posters, volantini o altro, che vengono successivamente diffusi all’interno dell’intera comunità scolastica,
GLOBE, Microplastics hunters
Insomma, abbiamo trovato tanto dentro il progetto “GLOBE, Microplastics hunters”, a partire dal suo respiro internazionale, dal rendersi conto che stavamo partecipando a una azione molto più grande di noi, dalla consapevolezza che i problemi ambientali riguardano tutto il pianeta e solo l’azione comune potrà avere un impatto significativo. È un’occasione privilegiata per riflettere insieme sul ruolo dello studio e della corretta informazione nell’affrontare temi nuovi o problematici, che sembrano enormi e insolubili, ma che non potranno trovare soluzione se non a partire dalla conoscenza e dalla sperimentazione seria e condivisa.
Infine, l’importanza di fare bene la propria parte, di assumersi una piccola o grande responsabilità nel prendersi cura della nostra casa comune, come membri di una grande comunità che si chiama Umanità. Grazie a GLOBE e ai ricercatori della Deakin University per aver permesso a tanti giovani in ogni parte del mondo di partecipare a questa sfida globale e … restiamo in attesa della campagna 2024/25!





Itis Feltrinelli di Milano
Ricerca delle Microplastiche nei Navigli di Milano a cura della Prof.ssa Claudia De Michele
Il progetto ” Gocce di civiltà in un mare di plastica” finanziato dalla Fondazione Cariplo, unitamente ai percorsi PCTO svolti nel nostro Istituto(ITIS Feltrinelli di Milano) sono stati finalizzati all’identificazione strutturale e alla raccolta di dati sulla contaminazione di Microplastiche nelle acque del territorio dell’Istituto (Naviglio Grande e Pavese), dati che confluiranno in un archivio periodicamente aggiornato a disposizione del territorio e anche di una rete di scuole italiane, che partecipano al progetto mondiale GLOBE di monitoraggio dei cambiamenti climatici.Attraverso questo progetto sono stati coinvolti gli studenti nell’applicazione del Metodo Scientifico Sperimentale in ambito ambientale.
Gli alunni hanno campionato, microfiltrato e analizzato le acque dei Navigli e hanno identificato le microplastiche con l’ausilio di uno spettrofotometro FTIR. Tale percorso didattico/educativo rientrava anche nei percorsi di Cittadinanza ed Educazione civica dell’Agenda 2030. Sei classi dell’Istituto, sia dell’ITIS, sia del Liceo, si sono recate con i loro insegnanti di chimica (prof.ssa C. De Michele, prof.ssa C. La Vela, prof.ssa F. Comito, prof. P.Araldo) sui Navigli, hanno individuato diversi punti di rilevamento e hanno eseguito il campionamento con asta telescopica con porta-campione, rilevandone anche temperatura e pH. Poi a scuola i campioni sono stati filtrati, usando un sistema di filtrazione biologica a vuoto e membrane filtranti con dimensioni dei pori di 0,45 micron (millesimi di millimetro). E’ stato misurato un volume noto di acqua del Naviglio ed in seguito versata in uno strumento per microcrofiltrazione sotto vuoto.
Insieme ai docenti si è poi passato a osservare il filtrato al microscopio, conteggiando, fotografando e misurando le dimensioni di ogni microplastica rilevata. Le microplastiche possono essere di vario colore, non sono state però confuse con alghe, o altri filamenti di origine animale/vegetale. Ci sono alcuni colori per i quali possiamo andare quasi sul sicuro che non siano di origine naturale: – rosso – blu – viola.
Microplatiche nei Navigli
Tramite le nostre osservazioni abbiamo stimato le microplastiche presenti in 1 m³ di acqua dei Navigli (luogo di prelievo del campione). Abbiamo osservato le microplastiche presenti in 250mL di acqua. In uno dei campioni prelevati erano più o meno 45, quindi tramite il calcolo: 45 MP x 4 x 1000 = 180000 MP/m³. 180.000 microplastiche su un solo metro cubo di acqua è un risultato impressionante, considerando che gli specchi d’acqua sulla terra hanno miliardi di metri cubi di acqua, di cui molti contaminati in questa maniera. Ovviamente è opportuno svolgere più test per ottenere una stima più accurata. Le Classi hanno poi inserito i dati raccolti in file Excel e realizzato alcuni grafici, per comprendere meglio quanto osservato. Sono stati eseguiti campionamenti nel corso di tutto l’anno scolastico, da tre anni a questa parte.
Gli studenti hanno accolto ed eseguito questo progetto con grande entusiasmo e hanno realizzato delle presentazioni in Italiano e in Inglese, una delle quali è stata anche esposta dalla prof.ssa C. De Michele al GLOBE Regional Meeting di Riga in Lettonia, a ottobre 2023. Purtroppo i dati raccolti hanno confermato la presenza di numerose microplastiche nelle acque dei Navigli. Contiamo di continuare questo lavoro di Ricerca e confronto anche nel corso dei prossimi anni scolastici.





Istituto IIS M. Curie-P. Sraffa di Milano
Il Protocollo Monitoraggio delle Microplastiche a cura della Prof.ssa Cristina Pastorelli
L’IIS M. Curie – P. Sraffa si occupa da molti anni di educazione ambientale e di monitoraggio fisico, chimico e batteriologico dei corpi idrici superficiali. (https://www.iiscuriesraffa.edu.it/)
È stato recentemente lanciato il Progetto Scuola 2030 per l’ecosostenibilità della scuola con diverse proposte avanzate dagli studenti sugli interventi da attuare per raggiungere gli obiettivi di sostenibilità della scuola in accordo con l’Agenda 2030 delle Nazioni Unite. Il Protocollo di Monitoraggio delle Microplastiche è stato estremamente coinvolgente per gli studenti che, divisi in due gruppi, hanno raccolto i campioni in aree diverse.
Parco delle Cave
Il primo gruppo ha raccolto i campioni di tre diversi corpi idrici del Parco delle Cave, un’area verde con laghetti situata vicino alla scuola. È il terzo parco più grande di Milano, dopo il Parco Nord e il Parco Forlanini, ha un’estensione di 1.350.000 mq, ed è racchiuso tra i quartieri di Baggio e Quinto Romano di Milano. Il parco non è recintato e quindi sono sempre accessibili: quattro bacini, boschi, corsi d’acqua, orti urbani, un’area agricola e soprattutto la cascina Linterno. Insieme al Bosco in città e al Parco di Trenno fa parte del Parco Agricolo Sud Milano.
Parco del Lura e Riserva Naturale “Fontanile Nuovo”
Il secondo gruppo ha deciso di campionare l’acqua di un fiume situato nel Parco del Lura in un’area verde vicino alla scuola (probabilmente l’acqua proviene dal Lago di Como) e l’acqua di un canale di irrigazione. Questo parco è un lungo nastro verde che scende dal Comasco fino alle porte della metropoli milanese: prima vasto e profondamente inciso nella pianura, poi esile cordone tra case, fabbriche e campi seminati. Altro punto di prelievo è la Riserva Naturale “Fontanile Nuovo”, classificata Riserva Naturale “parziale biologica”. È ubicata nel Comune di Bareggio, compresa nel Parco Agricolo Sud Milano, quindi sottoposta ai vincoli ambientali e alle forme di tutela previste dall’area protetta. Il sito è caratterizzato dalla presenza di habitat seminaturali inseriti in una matrice di aree coltivate e praterie. Fontanile Nuovo è una risorgiva che sfrutta la superficialità delle falde acquifere e fa parte della fitta rete di canali artificiali che caratterizzano il Parco Agricolo Sud.
Laboratorio
Gli studenti hanno raccolto i campioni d’acqua incontrandosi nel pomeriggio in piccoli gruppi. La scuola ha fornito la strumentazione necessaria per il monitoraggio completo delle acque superficiali (sonde di temperatura, pH e TDS). Successivamente in laboratorio hanno effettuato le filtrazioni e le osservazioni allo stereomicroscopio. Seguendo la vocazione chimica della scuola, le indagini sulle microplastiche sono state integrate da indagini chimico-fisiche effettuate in campo (temperatura, pH, conducibilità) e in laboratorio (cloruri e durezza).
L’acqua è stata prelevata utilizzando contenitori di plastica con pareti leggermente acidificate per limitare la crescita batterica. Per ogni prelievo è stato prelevato 1,5 L di acqua a una profondità di circa 10 cm, utilizzando anche mezzi di fortuna come rami di alberi legati alle bottiglie. L’acqua è stata conservata in frigorifero e filtrata il giorno successivo. Sono state utilizzate due tipologie di unità filtranti, una in plastica e una in vetro. La membrana utilizzata è cellulosa da 0.45 micron (Millipore MF Membrane filtranti cellulosa tipo 0,45 micron HA cat. n. HAWP04700). Le membrane sono state conservate in capsule di Petri fino alla completa asciugatura all’aria. Grazie alla telecamera posizionata sull’oculare di uno degli stereomicroscopi e collegata a un PC, gli studenti hanno potuto condividere con il resto del gruppo le osservazioni più interessanti, proiettandole su un grande schermo, e hanno inoltre potuto effettuare riprese ad alta quota – foto ad alta risoluzione.
Sono stati rilevati numerosi filamenti di fibre tessili sintetiche e alcuni probabili frammenti di microplastiche. L’indagine prosegue ogni anno e coinvolge gli studenti delle classi del triennio Chimico.




ISS E. Torricelli
Alla scoperta delle microplastiche, a cura dei docenti Enrico Portoghese e Sara Montanaro
Gli studenti della V-A CHI insieme ai loro docenti hanno approfondito la problematica delle microplastiche, contestualizzata al territorio del Parco del Ticinello.
L’attività è rientrata nel progetto Green School e ha previsto una prima parte di studio della problematica con lo svolgimento di lavori di gruppo, e una seconda parte laboratoriale, che ha previsto l’analisi delle acque del Parco del Ticinello.
Per quest’ultima parte gli studenti, la mattina del 14/05/24, si sono recati al Parco del Ticinello, situato poco distante dalla scuola, e hanno svolto la fase di campionamento delle acque in diversi punti (Cavo del Ticinello, Roggia Scarpogna e zona Umida).
Laboratorio
In ogni sito di campionamento è stata prelevata una quantità significativa di acqua, per poter svolgere lo studio in laboratorio. Per ogni 500 mL è stata effettuata una filtrazione con un filtro con griglia da 0.45 µm; dopodiché i filtri sono stati messi in recipienti piatti, chiamati piastre di Petri, per l’osservazione al microscopio. L’osservazione è stata fatta con un microscopio ottico a un ingrandimento 10X, in quanto con ingrandimenti superiori non si sarebbero ottenuti risultati significativi.
I risultati, riferiti a un solo giorno di campionamento, hanno mostrato una maggior presenza di microplastiche nell’area Roggia Scarpogna ma una minor presenza nel Cavo Ticinello e nella zona Umida.
Infine, tre studenti hanno rappresentato la loro classe per esporre il progetto nell’aula Prestipino dell’Istituto Torricelli, per sensibilizzare anche gli altri studenti partecipanti al progetto Green School e sulla problematica delle microplastiche nelle acque.











